근육 마비 루게릭병 환자, CT 영상으로 폐활량 측정 대신 한다

  • 뉴스1

서울대병원 교수진, 딥러닝 기술로 환자 261명 흉부 CT 분석
“환자 진단, 임상 결정 보조하는 효과적 수단으로 활용 기대”

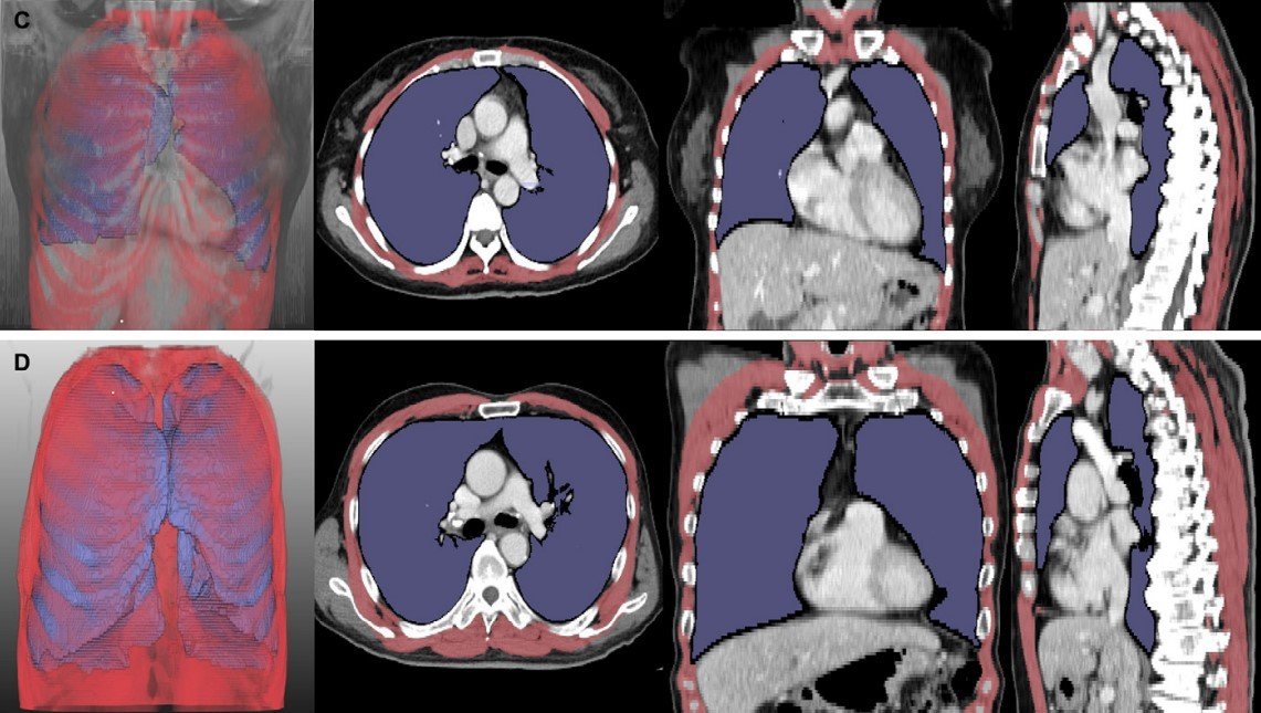
루게릭병 환자의 흉부 CT 분석 결과(서울대병원 제공)
루게릭병 환자의 흉부 CT 분석 결과(서울대병원 제공)
국내 연구진이 인공지능 딥러닝 기술로 흉부 컴퓨터단층촬영(CT) 영상을 분석해 루게릭병 환자의 호흡 기능을 평가할 수 있는 새 지표를 만들었다. 루게릭병 환자의 호흡 기능 평가는 주로 폐활량 검사를 통해 이뤄지지만, 구강안면 근육이 약한 환자는 검사 정확도가 떨어진다. CT 영상을 통한 호흡기능 평가는 이런 한계를 극복할 수 있을 것으로 기대된다.

서울대병원 신경과 최석진·성정준 교수와 영상의학과 박창민·최규성 교수가 공동 연구팀은 루게릭병 환자 261명의 흉부 CT 영상을 분석해 폐와 호흡근육의 부피를 분석하는 방식으로 루게릭병 환자의 호흡 기능을 평가할 수 있는 새로운 검사 지표를 개발했다고 23일 밝혔다.

루게릭병은 뇌와 척수의 운동신경세포가 점차 파괴되는 치명적인 신경퇴행성 질환이다. 병이 진행될수록 호흡근까지 마비되며, 발병 3~4년째면 호흡부전으로 사망에 이른다. 이에 루게릭병 환자는 폐활량 검사를 통해 정기적으로 호흡 기능을 측정한다. 이후 그에 따라 적절한 치료 방침을 결정한다.

그러나 구강안면 근육이 약해져 구음장애(말과 발음이 부정확해지는 장애)가 동반된 환자는 이 검사의 정확도가 떨어져, 이를 대체할 새로운 검사 방법이 필요했다. 이에 연구팀은 딥러닝 소프트웨어를 통해 루게릭병 환자의 폐와 호흡근 위축 정도를 나타내는 폐 용적 지수(LVI)와 호흡근 용적 지수(RMI)를 개발하고, 병기 및 생존 기간 간 연관성을 확인했다.

그 결과, 폐·호흡근 용적 지수는 병기(1~4기)가 증가할수록 유의미하게 감소했다. 또한, 이 지수들이 낮은 그룹은 높은 그룹 대비 폐와 호흡근 위축이 뚜렷한 것으로 나타나, 기관절개술 또는 사망에 이르는 시점이 빨랐다. 기관절개술은 호흡근육이 약해진 루게릭병 환자 목 부위를 절개해 인공 기도관을 삽입하는 수술이다.

또한 통계 분석에 따르면 폐·호흡근 용적 지수는 기존 폐활량 검사와 유사한 정확도로 환자의 예후를 평가할 수 있었다. 이 결과는 구음장애 환자만 분석한 경우에도 동일하게 나타나, 연구팀이 개발한 영상 기반 지표가 호흡 기능을 평가하기 어려운 루게릭병 환자에서도 폐활량 검사를 대체할 수 있는 가능성을 보여줬다.

서울대병원 신경과 최석진 교수, 김종수 연구원, 성정준 교수, 영상의학과 박창민, 최규성 교수(서울대병원 제공)
서울대병원 신경과 최석진 교수, 김종수 연구원, 성정준 교수, 영상의학과 박창민, 최규성 교수(서울대병원 제공)


최규성 교수는 “이번 연구는 대규모 루게릭병 코호트를 바탕으로 딥러닝 분석을 통해 정성적일 뿐 아니라 정량적인 영상 지표의 예후적 가치를 최초로 입증한 사례”라고 했고, 최석진 교수는 “이를 근거로 추후 영상 데이터가 루게릭병 진료 현장에 도입되면 환자의 진단과 임상 결정을 보조하는 효과적인 수단으로 활용될 것으로 기대된다”고 덧붙였다.

한편, 이 연구 결과는 국제학술지 ‘래디올로지(Radiology, IF;15.2)’ 최근호에 게재됐다.

(서울=뉴스1)

트렌드뉴스

트렌드뉴스

  • 좋아요
    0
  • 슬퍼요
    0
  • 화나요
    0

댓글 0

오늘의 추천영상

지금 뜨는 뉴스