
‘17m13’ 김장우, 16년 만에 남자 세단뛰기 한국 신기록
김장우(국군체육부대)가 16년 만에 육상 남자 세단뛰기 한국 신기록을 작성했다.김장우는 23일 강원 정선종합운동장에서 열린 제79회 전국육상경기선수권대회 남자 세단뛰기 경기에서 17m13을 기록했다.이로써 2009년 6월 김덕현이 세웠던 17m10을 3㎝ 넘어 한국 기록을 다시 썼다.…
- 2025-06-23

김장우(국군체육부대)가 16년 만에 육상 남자 세단뛰기 한국 신기록을 작성했다.김장우는 23일 강원 정선종합운동장에서 열린 제79회 전국육상경기선수권대회 남자 세단뛰기 경기에서 17m13을 기록했다.이로써 2009년 6월 김덕현이 세웠던 17m10을 3㎝ 넘어 한국 기록을 다시 썼다.…

미군의 폭격을 받은 이란 포르도의 지하 핵시설에 심각한 피해가 예상된다고 라파엘 그로시 국제원자력기구(IAEA) 사무총장이 23일(현지 시간) 밝혔다. 그로시 사무총장은 이날 성명을 통해 “사용된 폭탄의 폭발력과 진동에 극도로 민감한 원심분리기의 특성을 고려할 때 (포르도 핵시설에) …

‘건진법사 게이트’ 의혹을 수사 중인 검찰이 정치자금법 위반 혐의로 기소된 건진법사 전성배 씨(65)에 대해 사기죄 추가 적용을 검토하기로 했다. 서울남부지법 형사9단독 고소영 판사는 23일 전 씨의 정치자금법 위반 혐의에 대한 세 번째 공판기일을 진행했다. 윤석열 전 대통령의 부인 …

김영훈 고용노동부 장관 후보자는 전국민주노동조합총연맹(민노총) 위원장 출신 중 최초로 장관 후보자에 지명됐다. 김 후보자는 장관 후보자로 지목된 23일에도 부산과 서울을 오가는 ITX 새마을호를 운전했다.김 후보자는 이날 자신의 페이스북에 “오늘 11시 32분 출근해 13시 14분 부…

22일 오후 4시 16분경 경북 포항시 북구 죽장면 가산천에서 70대 남성이 운전하던 차량이 급류에 휩쓸리는 사고가 발생했다. 장맛비로 불어난 물에 보 위 도로가 잠기면서 차량이 물속으로 추락했고, 운전자는 경찰과 시민의 도움으로 극적으로 구조됐다.A 씨(70)는 이날 건설기계를 점검…

12·3 비상계엄 관련 내란·외환 수사를 맡은 조은석 특별검사팀(내란 특검)이 윤석열 전 대통령 재판에 처음으로 참석해 “지금보다 더 신속하게 재판을 진행해달라”고 요청했다. 윤 전 대통령 측은 ‘위헌적 특검법’이라며 헌법재판소의 판단을 받겠다고 밝혔다. 군 검찰은 구속기한이 곧 만료…

이재명 대통령이 23일 단행한 첫 내각 인선을 두고 ‘깜짝 발탁’보다는 안정성에 무게를 둔 인선이라는 평가가 나온다. 11개 부처 장관 후보자를 포함해 12명의 장관급 인사 중 6명을 정치인 출신으로 발탁하면서 신속한 국정 장악에 초점을 맞췄다는 것. 이 대통령은 일부 장관 후보자에게…

윤석열 전 대통령의 자신의 내란 혐의 재판에서 “막상 전쟁이 터지면 계엄을 하지 못한다”며 계엄 실무를 담당했던 군인들의 증언을 직접 반박했다. 서울중앙지법 형사합의25부(부장판사 지귀연)는 23일 오전 10시15분부터 내란 우두머리 및 직권남용 권리행사 방해 혐의를 받는 윤 전 대통…

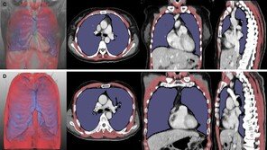
국내 연구진이 인공지능 딥러닝 기술로 흉부 컴퓨터단층촬영(CT) 영상을 분석해 루게릭병 환자의 호흡 기능을 평가할 수 있는 새 지표를 만들었다. 루게릭병 환자의 호흡 기능 평가는 주로 폐활량 검사를 통해 이뤄지지만, 구강안면 근육이 약한 환자는 검사 정확도가 떨어진다. CT 영상을 통…

이스라엘이 23일(현지 시간) 이란의 포르도 핵시설을 공격했다고 현지 언론을 인용해 AFP통신 등이 보도했다. AFP통신은 이란 타스님통신을 인용해 “침략자가 포르도 핵시설을 다시 공격했다”는 이란 현지 관리의 발언을 전했다. 해당 관리는 주변 지역 주민들에게 위험은 없을 것이라고 밝…

한국여성기자협회는 한국언론진흥재단의 후원으로 26일 오후 2시 서울 중구 한국프레스센터 20층 국제회의장에서 언론인 지망생을 위한 ‘2025 기자가 되는 길’ 워크숍을 개최한다고 23일 밝혔다.행사 1부에서는 ‘이런 인재를 원한다’를 주제로 이승헌 동아일보 편집국장과 정인성 KBS 보…

그룹 코요태 신지(43·이지선)가 결혼한다.코요태 소속사 제이지스타 측은 23일 오후 뉴스1에 “신지가 이날 웨딩 사진 촬영 중”이라고 밝혔다.예비 신랑은 아직은 널리 알려지지 않은 연하의 동료 가수로, 두 사람은 지난해 말 연인 관계로 발전해 최근 결혼까지 약속한 것으로 알려졌다. …

이재명 정부의 ‘실용주의’ 인선으로 윤석열 정부에서 임명된 장관 중 처음 유임하게 된 송미령 농림축산식품부 장관은 “그동안 쟁점이 되었던 정책이나 법안 등에 대해서는 새로운 정부의 국정 철학에 맞추어 적극 재검토해 나가겠다”고 밝혔다. 송 장관은 23일 입장문을 통해 유임된 것에 대해…

코카콜라사는 23일 서울 해방촌의 신흥시장과 협업해 ‘코카콜라 X 신흥시장 프로젝트’를 선보인다고 밝혔다. 이 프로젝트는 신흥시장 거리와 주요 레스토랑에 코카콜라 브랜딩을 적용해 소비자들에게 새로운 브랜드 경험을 제공하는 것을 목표로 하고 있다.이번 협업은 코카콜라의 ‘Coke & M…

군검찰이 여인형 전 국군방첩사령관과 문상호 전 정보사령관을 23일 추가 기소했다.12·3 비상계엄 관련 내란 외환 사건을 수사 중인 조은석 특별검사팀은 이날 오후 “군검찰이 금일 여 전 사령관을 위증죄로, 문 전 사령관을 군사기밀 누설 및 개인정보보호법위반죄로 추가 기소했다”고 밝혔다…

“챗GPT가 있는데 소버린 AI를 왜 개발하냐, 낭비다라는 말은 베트남이 쌀을 많이 생산하는데 뭘 농사를 짓냐, 사 먹으면 되지 이런 얘기랑 똑같습니다. 그게 얼마나 위험한 생각인지 모르는 거죠”지난 20일 울산전시컨벤션센터에서 열린 ‘울산 AI 데이터센터 출범식’에서 이재명 대통령이…

국민의힘은 23일 이재명 대통령이 11개 부처 장관 후보자 지명 및 국무총리실 국무조정실장 임명을 단행한 것과 관련해 “보은 인사”라고 지적했다.국민의힘 최수진 원내대변인은 이날 서울 영등포구 여의도 국회에서 기자들과 만나 이 대통령의 장관 인선에 대해 묻는 말에 “인선 과반 넘는 사…

번뜩이는 아이디어와 열정만으로 창업 성공을 보장하기는 어렵다. 창업 이후 팀 구성과 시제품 생산, 연구개발, 마케팅, 추가 자금 확보까지 넘어야 할 많은 산이 존재하기 때문이다. 서울과학기술대학교 창업지원단(이하 서울과기대 창업지원단)은 예비창업자부터 초기창업기업, 해외 시장을 겨냥하…

배우 김수현(37)이 가세연과 김새론(25) 유족 등을 무고 혐의로 고소했다.법률대리인인 법무법인 엘케이비앤파트너스는 23일 “김수현과 소속사 골드메달리스트는 금일 유튜브 채널 가로세로연구소 운영자 김세의와 김새론 유족을 무고 혐의로 추가 고소·고발했다”고 알렸다.“김세의는 지난달 7…

이재명 대통령이 24∼25일(현지시간) 네덜란드 헤이그에서 열리는 북대서양조약기구(NATO·나토) 정상회의에 불참하기로 결정한 데 대해 국민의힘이 “다자간의 협상테이블이 중요하다”며 유감을 표했다. 국민의힘 관계자는 이날 오후 외교부로부터 현안보고를 받고 “외신에 따르면 나토에서 도널…